Наши работы
  • Клинический случай №7

    При наличии здоровых соседних зубов и желания сохранить их таковыми, например, чтобы не обтачивать их под коронки мостовидных протезов и других видов конструкций пациенту была предложена имплантация.
    Был установлен имплант MIS (производство Израиль ), спустя 4 месяца установлен формирователь десны и изготовлена металлокерамическая коронка.

  • Клинический случай №6

    Пациент обратился в клинику ООО «МЕДЕНТАСТАР» с целью протезирования.
    Пациенту было предложено изготовить съемный протез методом литьевого прессования с фиксацией на литые корневые вкладки с шариковыми аттачменами Bredent. В данном случае была необходима дополнительная система фиксации на аттачмены в связи с отсутствием выраженного альвеолярного гребня.

  • Клинический случай №5

    Пациент обратился в клинику ООО «МЕДЕНТАСТАР» с целью протезирования. После проведенного эндодонтического лечения были изготовлены диагностические модели, на основании которых выполняется wax-up. Пациенту была предложена конструкция съемного протеза с телескопической системой фиксации.

  • Клинический случай №4

    Пациент обратился в клинику ООО «МЕДЕНТАСТАР» с жалобами на эстетическую неудовлетворенность центральных нижних резцов, с целью их последующего удаления.

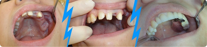
  • Клинический случай №3

    Пациент обратился в клинику ООО «МЕДЕНТАСТАР» с жалобами на эстетическую неудовлетворенность. После проведения эндодонтической подготовки были изготовлены диагностические модели, на основании которых выполняется wax-up. Пациенту было предложено изготовить металлокерамические мостовидные протезы.

  • Клинический случай №2

    Пациент обратился в клинику ООО «МЕДЕНТАСТАР» с целью протезирования, в связи с длительным отсутствием зубов.
    Перед началом процесса восстановления зубов пациенту было предложено изготовить диагностические модели, на основании которых выполняется wax-up («вокс-ап»).

  • Клинический случай №1

    Пациентка обратилась в клинику ООО «МЕДЕНТАСТАР» с жалобами на эстетическую неудовлетворенность фронтальной группы зубов. В ходе осмотра ей была предложена несъемная конструкция металлокерамического протеза с условно съемным протезом с замковой системой фиксации.

  • Имплантация зубов Юлия Константиновна

    Пациентка обратилась с жалобами на отсутствие зубов справа внизу. Направлена от имплантолога Бердзенадзе З.З, в ходе операции имплантации было установлено два имплантата фирмы Nobel Biocare.

Форма обратной связи

  • Оставьте заявку
    на сайте и менеджер
    перезвонит вам

    Медентастар

    Вызов...

  • Задайте свой вопрос врачу
    Задать вопрос
    • Анастасия

      Здравствуйте, изготавливаете пластины для испрааления прикуса верхней челюсти? Если да, то сколько это будет стоить?

      09:43 - 10 February 2026
    • Добрый день!

      Здравствуйте! Да, в нашей клинике изготавливаются ортодонтические пластины для исправления прикуса. Какой аппарат необходим именно Вам, может сказать ортодонт только после консультации и диагностики, так как есть определенные показания и не все клинические случаи исправляются только пластинами.

      09:48 - 10 February 2026
    • Анастасия

      Здравствуйте, изготавливаете пластины для испрааления прикуса верхней челюсти? Если да, то сколько это будет стоить?

      09:53 - 10 February 2026